Solución de radiología
Intuitivo • Flexible • Accesible
PROACSA es socio comercial de IMEXHS y ofrecemos AQUILA, software para la administración de imágenes médicas integral.
Solución 360
Optimización del flujo de trabajo de principio a fin
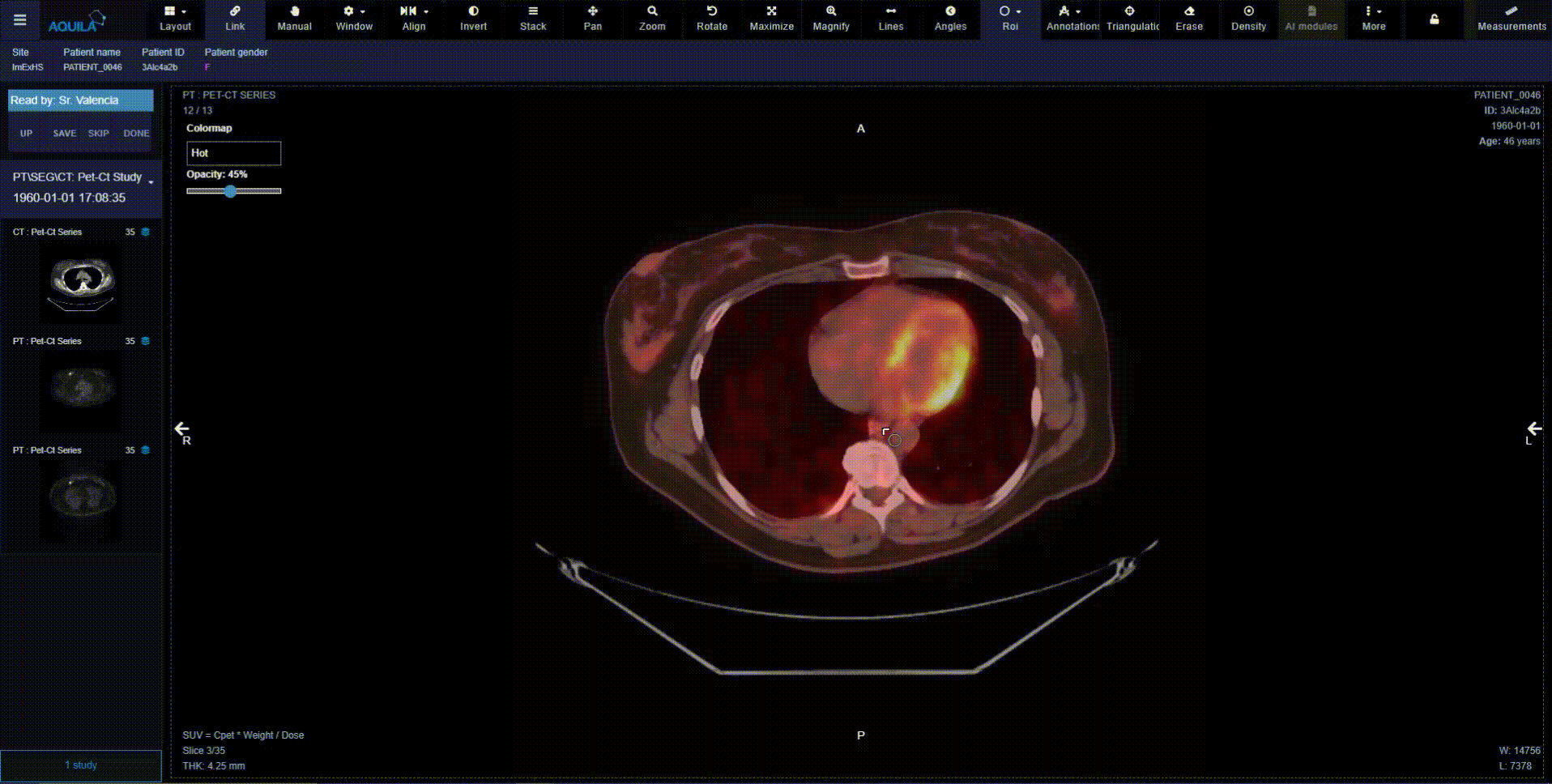
AQUILA by IMEX es un software intuitivo, accesible y flexible de solución de radiología creado para mejorar los resultados de los pacientes en el diagnóstico y tratamiento por imágenes. Este nuevo modelo de negocio de IMEXHS aprovecha las capacidades de tenencia múltiple de AQUILA para proporcionar a los clientes un producto RIS/PACS asequible y accesible
Aquila brinda acceso a todas las funcionalidades de una plataforma web VNA y almacenamiento seguro en la nube, visor, RIS, PACS e inteligencia de negocio en una sola solución. Accesible desde cualquier dispositivo y en cualquier parte del mundo, diseñado también para garantizar una amplia compatibilidad e interoperabilidad con otras tecnologías.
Plataforma basada en la nube
Multiusuarios
Portal web para pacientes y médicos
Reconocimiento de voz
Visualización web desde cualquier dispositivo
IMPLEMENTAR AQUILA ES UN PROCESO FÁCIL Y GRATIFICANTE
DISEÑE SU SOLUCIÓN AQUILA
AQUILA by IMEX incluye los siguientes módulos:
EXTENSIONES
Inteligencia Artificial
Módulo avanzado de inteligencia artificial en todo el producto para el análisis de la información.
Visualización avanzada
Módulo de visualización de datos avanzada con soporte 1:1.
Portal paciente
Módulo que permite al paciente visualizar su información.
Reconocimiento de voz web
Módulo avanzado que permite procesar audio en la plataforma web.

